Cosmetic Dentistry & Veneers
Transform your smile with precision-crafted porcelain veneers and Hollywood Smile makeovers.
Cosmetic Dentistry & Veneers
Cosmetic dentistry combines artistry with advanced dental science to create smiles that are beautiful, natural, and perfectly suited to each patient. Our cosmetic treatments include porcelain veneers, composite bonding, and complete Hollywood Smile transformations — each carefully designed around your facial features and personal aesthetic goals.
Whether you want to correct discolouration, chips, gaps, or misshapen teeth, cosmetic dentistry offers a minimally invasive route to a dramatically improved smile. Porcelain veneers, in particular, are ultra-thin shells bonded to the front surface of teeth, producing life-changing results in just two appointments.
Our cosmetic dentists work closely with specialist dental technicians to craft restorations that blend seamlessly with your natural teeth. Every detail — from the translucency of the porcelain to the precise shade and contour — is tailored to complement your unique appearance.
What to Expect
A simple, comfortable process designed around you.
Consultation
We conduct an in-depth consultation to understand your goals, assess your teeth, and use digital smile design software to preview your ideal outcome before treatment begins.
Preparation
A minimal amount of enamel is gently removed from the tooth surface to create space for the veneer. Temporary veneers are fitted while your permanent ones are crafted in our laboratory.
Procedure
Your custom porcelain veneers are bonded precisely to your teeth, with final adjustments made to ensure perfect fit, bite, and aesthetics.
Recovery & Results
Veneers require no special recovery. With good oral hygiene, they can last 10–15 years or longer while maintaining their beautiful appearance.
Why Choose This Treatment
Dramatic Transformation
Veneers and bonding can correct colour, shape, size, and spacing in as few as two appointments.
Custom Craftsmanship
Every restoration is hand-crafted by specialist dental technicians to match your ideal shade and form.
Minimally Invasive
Modern veneer preparation removes the minimum amount of enamel required — preserving as much natural tooth as possible.
Long-Lasting Beauty
High-quality porcelain veneers maintain their colour and polish for 10–15 years with proper care.
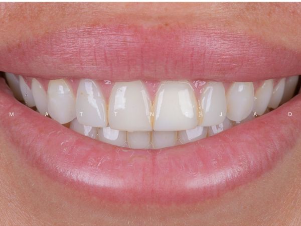
Before & After
Real results from real patients — images provided by the clinic.
Before
After
Common Questions About Cosmetic Dentistry & Veneers
Absolutely. Our veneers are crafted from high-quality dental porcelain that replicates the light-reflecting properties of natural enamel. We work with skilled technicians to ensure every veneer blends seamlessly with your surrounding teeth.
This depends on your goals. Many patients choose to veneer the 6–10 teeth visible when smiling. We will discuss the optimal number during your consultation based on your desired outcome.
Traditional veneers require a small amount of enamel removal, making them a permanent commitment. However, minimal-prep or no-prep veneers are available for suitable cases. We will explain all options during your consultation.
Treat veneers like natural teeth — brush twice daily, floss regularly, and attend routine check-ups. Avoid biting very hard objects, and if you grind your teeth, a night guard is recommended to protect your investment.
Ready to Book Your Appointment?
Our specialists are ready to assist you. Get in touch today.